×

اطلاعات "Enter"فشار دادن

 

  • تاریخ انتشار : 1394/06/02 - 08:40
  • بازدید : 634
  • تعداد بازدید : 92
  • زمان مطالعه : کمتر از یک دقیقه
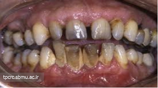
قلیان باعث افزایش پوسیدگی دندان می‌شود

قلیان باعث افزایش پوسیدگی دندان می‌شود

قلیان از خانواده دخانیات، توتون و تنباکو بوده که باعث رنگ‌زدگی و افزایش پوسیدگی دندان می‌شود. دکتر محمدهادی شفق با تاکید بر اینکه تاثیر قلیان از سیگار شدیدتر و بیشتر است، اظهار کرد: از عوارض قلیان می‌توان به عفونت لثه‌ای و زرد شدن دندان‌ها، بوی بد دهان و ایجاد کاهش فعالیت فیزیولوژیک غدد بزاقی در دهان اشاره کرد ...

قلیان باعث افزایش پوسیدگی دندان می‌شود

یک دندانپزشک گفت: قلیان از خانواده دخانیات، توتون و تنباکو بوده که باعث رنگ‌زدگی و افزایش پوسیدگی دندان می‌شود.

دکتر محمدهادی شفق با تاکید بر اینکه تاثیر قلیان از سیگار شدیدتر و بیشتر است، اظهار کرد: از عوارض قلیان می‌توان به عفونت لثه‌ای و زرد شدن دندان‌ها، بوی بد دهان و ایجاد کاهش فعالیت فیزیولوژیک غدد بزاقی در دهان اشاره کرد.

وی در ادامه به افرادی که اقدام به کشیدن قلیان یا سیگار می‌کنند توصیه کرد: این افراد باید بیشتر از دیگران بهداشت دهان و دندان را رعایت کنند و هیچ‌گاه بعد از کشیدن قلیان و سیگار مسواک را فراموش نکنند.

شفق با بیان اینکه بسیاری از افراد از بوی بد سیگار و قلیان رنج می‌برند، یادآور شد: افرادی که قلیان می‌کشند به علت بوی بد دهان نمی‌توانند افراد نزدیک خود بویژه بچه‌ها را نوازش کرده یا ببوسند. در نتیجه همه از هم‌نشینی با آن‌ها گریزان هستند.

منبع: ايسنا

  • گروه خبری : اخبار مرکز تحقیقات پیشگیری و کنترل دخانیات
  • کد خبر : 22732
کلید واژه

نظرات

0 تعداد نظرات

نظر

تنظیمات قالب