×

اطلاعات "Enter"فشار دادن

 

لیست اخبار صفحه :129
یک عکس جالب از کشوری که سیگار در آن ممنوع است
ممنوعيت سيگار در بوتان

یک عکس جالب از کشوری که سیگار در آن ممنوع است

عکسی که تفاوت شهرهای هندی و بوتانی در مرز دو کشور را نشان می‌دهد، مورد توجه کاربران شبکه‌های اجتماعی قرار گرفته است. این عکس مربوط به یکی از مناطق مسکونی واقع در مرز بوتان و هند است که تنها یک جوی آب حدفاصل زندگی مردم دو کشور است و به همین دلیل تفاوت در مدیریت و زندگی شهری آنها به وضوح دیده می‌شود ...

سیگار سالانه ۱۴۰ هزار میلیارد ریال پول پک می زند!
هزينه براي سيگار

سیگار سالانه ۱۴۰ هزار میلیارد ریال پول پک می زند!

نماینده مردم ارومیه و عضو کمیسیون بهداشت و درمان مجلس شورای اسلامی گفت: سالانه ۴۰ هزار میلیارد ریال صرف خرید سیگار و ۱۰۰ هزار میلیارد ریال صرف درمان عوارض ناشی از سیگار می شود. عابد فتاحی با تشریح عوامل گرایش جوانان به سیگار افزود: بیشتر دختران و پسران جوان سیگاری معتقدند که سیگار برای سلامتی آنها مضر نیست و این نگرش در جوانانی که از کودکی پدر و مادر خود را سیگاری دیده اند ...

رفتار زشت مرد چینی با یک میمون
رفتار زشت مرد چینی با یک میمون

رفتار زشت مرد چینی با یک میمون

مرد چینی که میمون خودش رو بخاطر نافرمانی در خیابان با اسلحه تهدید به کشتن کرده بود، بازداشت و میمون به سازمان حمایت از حیوانات تحویل داده شد. مرد بازداشت شده از میمون میخواست که برای سرگرم کردن رهگذران و پول درآوردن در حضور مردم سیگار بکشد و میمون که پس از مدت‌ها سیگار کشیدن به سرفه و نفس تنگی افتاده بود ...

دسترسی به سیگار از نان راحت‌تر است
رییس مرکز مدیریت بیماریهای غیر واگیر وزارت بهداشت

دسترسی به سیگار از نان راحت‌تر است

رییس مرکز مدیریت بیماریهای غیر واگیر وزارت بهداشت گفت: دسترسی به سیگار از نان راحت است و مالیاتی از سیگار گرفته نمی شود. اگر می‌خواهیم بیماریها کم شود باید کاری کنیم که دسترسی به دخانیات سخت شود. وي افزود: یکی از راههای کنترل و کاهش بیماریهای غیر واگیر مانند بیماریهای قلبی و عروقی، فشار خون، سرطان یا نارسایی کلیه کاهش مصرف سیگار و قلیان است ...

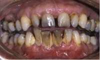
قلیان باعث افزایش پوسیدگی دندان می‌شود
قلیان باعث افزایش پوسیدگی دندان می‌شود

قلیان باعث افزایش پوسیدگی دندان می‌شود

قلیان از خانواده دخانیات، توتون و تنباکو بوده که باعث رنگ‌زدگی و افزایش پوسیدگی دندان می‌شود. دکتر محمدهادی شفق با تاکید بر اینکه تاثیر قلیان از سیگار شدیدتر و بیشتر است، اظهار کرد: از عوارض قلیان می‌توان به عفونت لثه‌ای و زرد شدن دندان‌ها، بوی بد دهان و ایجاد کاهش فعالیت فیزیولوژیک غدد بزاقی در دهان اشاره کرد ...

تشخیص دیرهنگام سرطان ریه و افزایش مصرف قلیان در کشور
دبیر کل جمعیت مبارزه با استعمال دخانیات

تشخیص دیرهنگام سرطان ریه و افزایش مصرف قلیان در کشور

دبیر کل جمعیت مبارزه با استعمال دخانیات گفت: سرطان ریه ، بیشتر مواقع در کشور دیر تشخیص داده می شود این در حالی است که بر اساس اعلام سازمان بهداشت جهانی، سرطان ریه جزو شایع ترین سرطان ها در جهان به شمار می آید ...

دستيابي به راهي نو براي ترك سيگار
روشي جديد

دستيابي به راهي نو براي ترك سيگار

پژوهشگران موفق به شناسایی نوعی آنزیم شدند که نیکوتین را تجزیه می‌کند. این آنزیم می‌تواند در آینده برای طراحی درمان‌های موثرتر به منظور ترک سیگار به کار رود. این آنزیم NicA۲ نام دارد و از دسته‌ای از باکتری‌ها موسوم به «سودوموناس» به دست می‌آید. این باکتری که به صورت طبیعی در خاک مزارع توتون وجود دارد ...

چند درصد سيگار كشور قاچاق است؟
سيگار قاچاق

چند درصد سيگار كشور قاچاق است؟

نایب رییس کمیسیون بهداشت و درمان مجلس با بیان اینکه ۳۰ درصد سیگار کشور قاچاق است، گفت: کالای قاچاق نه تنها بی‌کیفیت‌تر هستند بلکه باعث آسیب به محصولات داخلی هم می‌شوند. وي اظهار كرد: درباره قاچاق غیر قانونی سیگار معاهده‌ای در سال 82 توسط سازمان بهداشت جهانی درخصوص مبارزه با دخانیات به تصویب رسیده بود ...

خشکاندن نسل ایرانیان با سیگارهای وارداتی آلوده
سیگارهای وارداتی آلوده

خشکاندن نسل ایرانیان با سیگارهای وارداتی آلوده

حسین طلا نماینده مردم تهران و عضو کمیسیون اجتماعی مجلس شورای اسلامی درباره وضعیت دخانیات کشور گفت: وقتی رسماً دشمنان ما افراد را برای کشتار وسیع آموزش می‌دهند تا رسماً بمب سیانور درست کنند آیا این احتمال نباید به ذهن متبادر شود که آنان به‌دنبال خشکاندن نسل ایرانیان هستند؟ آیا این قرائن و شواهد کافی نیست تا افراد روی این موضوع حساس شوند و از قاچاق سیگار ...

نیمی از افراد سیگاری قادر به انجام ایمپلنت نیستند
قادر به ايمپلنت نيستند

نیمی از افراد سیگاری قادر به انجام ایمپلنت نیستند

متخصص دهان و دندان گفت: عمل ایمپلنت در نیمی از افراد سیگاری امکان پذیر نیست و معمولا افراد سیگاری باید چند ماه قبل از انجام این عمل از مصرف سیگار خودداری کنند. عطا الله شیرازی گفت: تقریبا تمام افرادی که مانعی برای انجام عمل جراحی داخل دهانی ندارند، می‌توانند ایمپلنت انجام دهند ...

تنظیمات قالب