×

اطلاعات "Enter"فشار دادن

 

  • تاریخ انتشار : 1397/09/25 - 11:53
  • بازدید : 464
  • تعداد بازدید : 147
  • زمان مطالعه : 1 دقیقه
نتایج مطالعه جدید یک محقق ایرانی؛

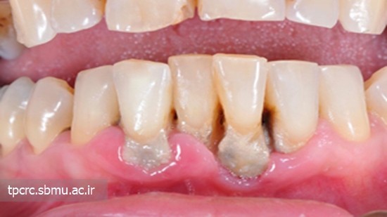
سیگار کشیدن موجب تضعیف سیستم ایمنی دندان‌ها می‌شود

طبق نتایج یک مطالعه جدید، سیگار علاوه بر افزایش ریسک سرطان ریه، آمفیزم (نوعی مشکل ریوی) و بیماری قلبی، موجب تضعیف سیستم ایمنی تاثیرگذار بر سلامت دندان های افراد سیگاری می‌شود ...

سيگار و ضعف ايمني دندان،

طبق نتایج یک مطالعه جدید، سیگار علاوه بر افزایش ریسک سرطان ریه، آمفیزم (نوعی مشکل ریوی) و بیماری قلبی، موجب تضعیف سیستم ایمنی تاثیرگذار بر سلامت دندان های افراد سیگاری می‌شود. محققان دانشگاه کیس وسترن ریزرو اوهایو دریافتند سیگار کشیدن موجب کاهش توانایی مغز درون دندان‌ها در مقابله با بیماری و امراض می‌شود.
«آنیتا امین شریعی»، سرپرست تیم تحقیق، در این باره می‌گوید: «این تاثیر سیگار می‌تواند توضیح دهنده این مسئله باشد که چرا افراد سیگاری دارای سلامت ضعیف دندان و لثه و تاثیر در بهبود مشکلات دهان هستند.»
این مطالعه شامل ۳۲ فرد سیگاری و ۳۷ فرد غیرسیگاری مبتلا به التهاب بافت دندانی بودند. محققان دریافتند افراد سیگاری با احتمال بیشتر ابتلا به بیماری لثه و حدود دو برابر بیشتر نیاز به درمان ریشه دارند.
امین شریعی در ادامه می‌افزاید: «به نظر ما دفاع طبیعی دندان‌ها در افراد سیگاری کاهش می‌یابد.»
با این حال محققان تاکید می‌کنند تاثیرات مضر سیگار بر سیستم ایمنی قابل بازگشت است. آنها اذعان داشتند با ترک سیگار، سیستم ایمنی شرکت‌کنندگان مجددا قوی می‌شود.

منبع: همشهري آنلاين

  • گروه خبری : اخبار مرکز تحقیقات پیشگیری و کنترل دخانیات
  • کد خبر : 71629
کلید واژه

نظرات

0 تعداد نظرات

نظر

تنظیمات قالب